女,56岁,腹胀、腹痛、左下腹包块三月余,无肛门排气,影像检查如图,最可能的诊断是 ( )A、乙状结肠淋巴瘤B、乙状结肠息肉C、乙...

作者: rantiku 人气: - 评论: 0
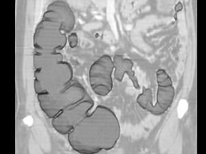
问题 女,56岁,腹胀、腹痛、左下腹包块三月余,无肛门排气,影像检查如图,最可能的诊断是 ( )
选项 A、乙状结肠淋巴瘤 B、乙状结肠息肉 C、乙状结肠结核 D、乙状结肠腺癌 E、乙状结肠crohn病
答案 D
解析

猜你喜欢

发表评论
更多 网友评论0 条评论)
暂无评论

访问排行

Copyright © 2012-2014 恰考网 Inc. 保留所有权利。 Powered by tikuer.com

页面耗时0.0376秒, 内存占用1.03 MB, Cache:redis,访问数据库14次