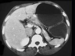
男,23岁,急性左上腹痛,腹胀,结合图像,应考虑为 ( )A、小肠梗阻B、肠套叠C、胃扭转D、结肠梗阻E、结肠扭转

作者: rantiku 人气: - 评论: 0
问题 男,23岁,急性左上腹痛,腹胀,结合图像,应考虑为 ( )
选项 A、小肠梗阻 B、肠套叠 C、胃扭转 D、结肠梗阻 E、结肠扭转
答案 E
解析

猜你喜欢

发表评论
更多 网友评论0 条评论)
暂无评论

访问排行

Copyright © 2012-2014 恰考网 Inc. 保留所有权利。 Powered by tikuer.com

页面耗时0.1122秒, 内存占用1.03 MB, Cache:redis,访问数据库20次