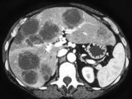
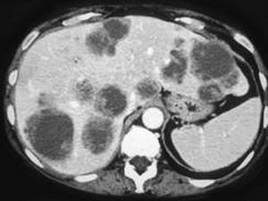
男,54岁,患者一年前行结肠癌手术,癌胚抗原增高,影像检查如图,最可能的诊断是 ( )A、多发性肝囊肿B、肝淋巴瘤C、结肠癌肝转移D、...

作者: rantiku 人气: - 评论: 0
问题 男,54岁,患者一年前行结肠癌手术,癌胚抗原增高,影像检查如图,最可能的诊断是 ( )
选项 A、多发性肝囊肿 B、肝淋巴瘤 C、结肠癌肝转移 D、多发性肝脓肿 E、多发结节性肝癌
答案 C
解析

猜你喜欢

发表评论
更多 网友评论0 条评论)
暂无评论
错误啦!

错误信息

  • 消息: [程序异常] : MISCONF Redis is configured to save RDB snapshots, but it's currently unable to persist to disk. Commands that may modify the data set are disabled, because this instance is configured to report errors during writes if RDB snapshotting fails (stop-writes-on-bgsave-error option). Please check the Redis logs for details about the RDB error.
  • 文件: /twcms/kongphp/cache/cache_redis.class.php
  • 位置: 第 85 行
    <?php echo 'KongPHP, Road to Jane.'; ?>