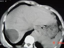
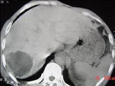
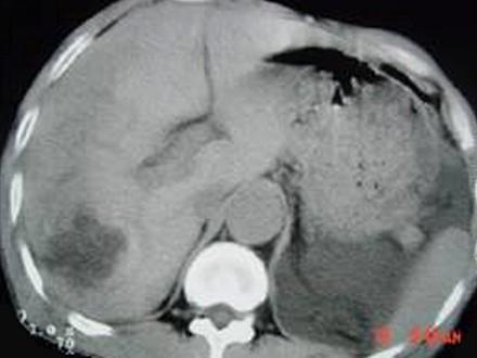
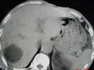
女,62岁,右上腹隐痛,曾在新疆生活30余年,有犬、羊密切接触史,CT平扫如图,最可能的诊断是 ( )A、肝血管瘤B、肝包虫病C、...

作者: rantiku 人气: - 评论: 0
问题 女,62岁,右上腹隐痛,曾在新疆生活30余年,有犬、羊密切接触史,CT平扫如图,最可能的诊断是 ( )
选项 A、肝血管瘤 B、肝包虫病 C、肝癌 D、肝脓肿 E、肝囊肿
答案 B
解析

猜你喜欢

发表评论
更多 网友评论0 条评论)
暂无评论

访问排行

Copyright © 2012-2014 恰考网 Inc. 保留所有权利。 Powered by tikuer.com

页面耗时0.1112秒, 内存占用1.03 MB, Cache:redis,访问数据库19次