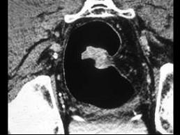
男,56岁,下腹疼痛、大便潜血阳性,结合图像应考虑为 ( )A、直肠间质瘤B、直肠淋巴瘤C、直肠癌D、直肠腺瘤E、直肠息肉

作者: rantiku 人气: - 评论: 0
问题 男,56岁,下腹疼痛、大便潜血阳性,结合图像应考虑为 ( )
选项 A、直肠间质瘤 B、直肠淋巴瘤 C、直肠癌 D、直肠腺瘤 E、直肠息肉
答案 C
解析

猜你喜欢

发表评论
更多 网友评论0 条评论)
暂无评论

访问排行

Copyright © 2012-2014 恰考网 Inc. 保留所有权利。 Powered by tikuer.com

页面耗时0.0439秒, 内存占用1.03 MB, Cache:redis,访问数据库18次