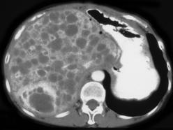
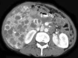
男,36岁,上腹部胀痛,CT检查如图所示,最可能的诊断是 ( )A、肝脓肿B、肝囊虫病C、肝癌D、多囊肝E、肝转移癌

作者: rantiku 人气: - 评论: 0
问题 男,36岁,上腹部胀痛,CT检查如图所示,最可能的诊断是 ( )
选项 A、肝脓肿 B、肝囊虫病 C、肝癌 D、多囊肝 E、肝转移癌
答案 D
解析

猜你喜欢

发表评论
更多 网友评论0 条评论)
暂无评论

访问排行

Copyright © 2012-2014 恰考网 Inc. 保留所有权利。 Powered by tikuer.com

页面耗时0.0547秒, 内存占用1.03 MB, Cache:redis,访问数据库18次