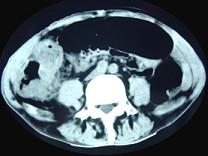
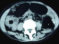
男,70岁,右下腹胀,腹痛,腹泻,影像检查如图,最可能的诊断是 ( )A、结肠结核B、结肠淋巴瘤C、结肠癌D、结肠套叠E、...

作者: rantiku 人气: - 评论: 0
问题 男,70岁,右下腹胀,腹痛,腹泻,影像检查如图,最可能的诊断是 ( )
选项 A、结肠结核 B、结肠淋巴瘤 C、结肠癌 D、结肠套叠 E、结肠克隆恩病
答案 C
解析

猜你喜欢

发表评论
更多 网友评论0 条评论)
暂无评论

访问排行

Copyright © 2012-2014 恰考网 Inc. 保留所有权利。 Powered by tikuer.com

页面耗时0.0571秒, 内存占用1.03 MB, Cache:redis,访问数据库17次