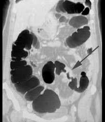
男,55岁,左下腹胀痛、并可触及包块,结合图像,应诊断为 ( )A、肠结核B、慢性溃疡性结肠炎C、结肠癌D、结肠腺瘤E、结肠crohn病

作者: rantiku 人气: - 评论: 0
问题 男,55岁,左下腹胀痛、并可触及包块,结合图像,应诊断为 ( )
选项 A、肠结核 B、慢性溃疡性结肠炎 C、结肠癌 D、结肠腺瘤 E、结肠crohn病
答案 C
解析

猜你喜欢

发表评论
更多 网友评论0 条评论)
暂无评论

访问排行

Copyright © 2012-2014 恰考网 Inc. 保留所有权利。 Powered by tikuer.com

页面耗时0.0410秒, 内存占用1.03 MB, Cache:redis,访问数据库19次