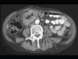
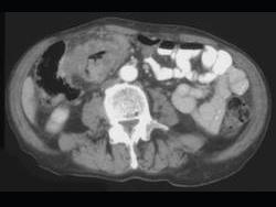
男,45岁,右下腹胀痛、并可触及质硬包块,请结合图像选择最可能诊断 ( )A、结肠淋巴瘤B、慢性溃疡性结肠炎C、结肠癌D、肠结核E...

作者: rantiku 人气: - 评论: 0
问题 男,45岁,右下腹胀痛、并可触及质硬包块,请结合图像选择最可能诊断 ( )
选项 A、结肠淋巴瘤 B、慢性溃疡性结肠炎 C、结肠癌 D、肠结核 E、结肠crohn病
答案 C
解析

猜你喜欢

发表评论
更多 网友评论0 条评论)
暂无评论

访问排行

Copyright © 2012-2014 恰考网 Inc. 保留所有权利。 Powered by tikuer.com

页面耗时0.0328秒, 内存占用1.03 MB, Cache:redis,访问数据库18次