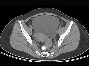
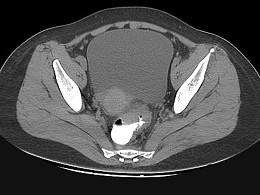
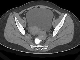
男,67岁,排便习惯改变,血便三个月入院,CT检查如图所示,下列说法错误的是 ( )A、此为直肠息肉B、此为直肠癌C、其表面欠光整,边...

作者: rantiku 人气: - 评论: 0
问题 男,67岁,排便习惯改变,血便三个月入院,CT检查如图所示,下列说法错误的是 ( )
选项 A、此为直肠息肉 B、此为直肠癌 C、其表面欠光整,边界欠清晰 D、可做直肠指检及活检以确定病变性质 E、直肠肠腔局限性增厚
答案 A
解析

猜你喜欢

发表评论
更多 网友评论0 条评论)
暂无评论

访问排行

Copyright © 2012-2014 恰考网 Inc. 保留所有权利。 Powered by tikuer.com

页面耗时0.0523秒, 内存占用1.03 MB, Cache:redis,访问数据库13次