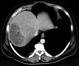
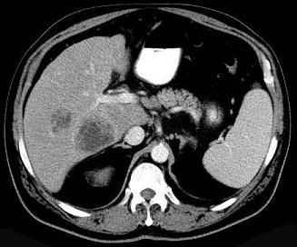
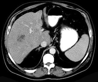
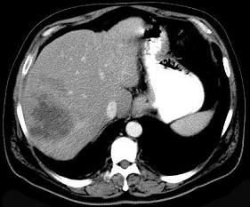
细菌性肝脓肿的最常见致病菌是 ( )A、粪链球菌、金黄色葡萄球菌和厌氧菌B、溶血性链球菌、金黄色葡萄球菌和厌氧菌C、大肠杆菌、粪链...

作者: rantiku 人气: - 评论: 0
问题 细菌性肝脓肿的最常见致病菌是 ( )
选项 A、粪链球菌、金黄色葡萄球菌和厌氧菌 B、溶血性链球菌、金黄色葡萄球菌和厌氧菌 C、大肠杆菌、粪链球菌和厌氧菌 D、大肠杆菌、金黄色葡萄球菌和厌氧菌 E、大肠杆菌、绿脓杆菌和厌氧菌
答案 D
解析

猜你喜欢

发表评论
更多 网友评论0 条评论)
暂无评论

访问排行

Copyright © 2012-2014 恰考网 Inc. 保留所有权利。 Powered by tikuer.com

页面耗时0.0377秒, 内存占用1.03 MB, Cache:redis,访问数据库19次