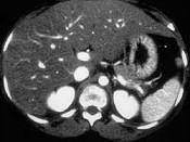
男,56岁,体型肥胖,有饮酒史30余年,CT检查见图,最可能的诊断是 ( )A、肝癌B、肝豆状核变性C、肝色素沉着症D、肝硬化E、脂肪肝

作者: rantiku 人气: - 评论: 0
问题 男,56岁,体型肥胖,有饮酒史30余年,CT检查见图,最可能的诊断是 ( )
选项 A、肝癌 B、肝豆状核变性 C、肝色素沉着症 D、肝硬化 E、脂肪肝
答案 E
解析

猜你喜欢

发表评论
更多 网友评论0 条评论)
暂无评论

访问排行

Copyright © 2012-2014 恰考网 Inc. 保留所有权利。 Powered by tikuer.com

页面耗时0.0344秒, 内存占用1.03 MB, Cache:redis,访问数据库20次