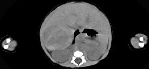
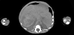
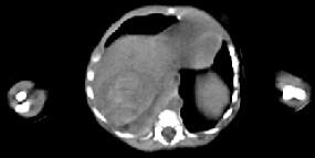
男,5天,上腹部膨隆,CT所见如图,最可能的诊断是 ( )A、肝脓肿B、肝转移瘤C、肝母细胞瘤D、肝血管瘤E、原发性肝癌

作者: rantiku 人气: - 评论: 0
问题 男,5天,上腹部膨隆,CT所见如图,最可能的诊断是 ( )
选项 A、肝脓肿 B、肝转移瘤 C、肝母细胞瘤 D、肝血管瘤 E、原发性肝癌
答案 C
解析

猜你喜欢

发表评论
更多 网友评论0 条评论)
暂无评论

访问排行

Copyright © 2012-2014 恰考网 Inc. 保留所有权利。 Powered by tikuer.com

页面耗时0.0485秒, 内存占用1.03 MB, Cache:redis,访问数据库14次