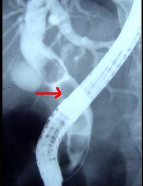
下列ERCP检查最佳的诊断是 ( )A、肝内外胆管结石B、胆囊息肉C、胆总管结石D、肝内胆管结石E、胆囊结石

作者: rantiku 人气: - 评论: 0
问题 下列ERCP检查最佳的诊断是 ( )
选项 A、肝内外胆管结石 B、胆囊息肉 C、胆总管结石 D、肝内胆管结石 E、胆囊结石
答案 C
解析

猜你喜欢

发表评论
更多 网友评论0 条评论)
暂无评论

访问排行

Copyright © 2012-2014 恰考网 Inc. 保留所有权利。 Powered by tikuer.com

页面耗时0.0419秒, 内存占用1.03 MB, Cache:redis,访问数据库20次