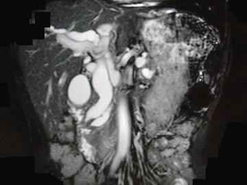
患者男,47岁,进行性黄疸,发热,腹胀,影像检查如图,最可能的诊断是 ( )A、十二指肠壶腹癌B、胰头癌C、胆总管结石D、胆总...

作者: rantiku 人气: - 评论: 0
问题 患者男,47岁,进行性黄疸,发热,腹胀,影像检查如图,最可能的诊断是 ( )
选项 A、十二指肠壶腹癌 B、胰头癌 C、胆总管结石 D、胆总管癌 E、胆总管囊肿
答案 A
解析

猜你喜欢

发表评论
更多 网友评论0 条评论)
暂无评论

访问排行

Copyright © 2012-2014 恰考网 Inc. 保留所有权利。 Powered by tikuer.com

页面耗时0.0427秒, 内存占用1.03 MB, Cache:redis,访问数据库13次