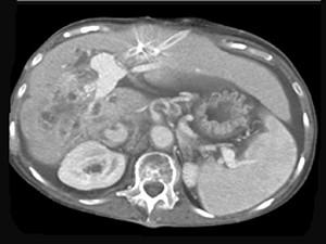
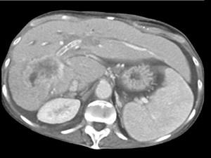
男,50岁,右上腹痛,进行性黄疸,无腹部包块,AFP阴性,影像检查如图,最可能的诊断是 ( )A、肝腺瘤B、肝转移瘤C、胆管癌D、肝血...

作者: rantiku 人气: - 评论: 0
问题 男,50岁,右上腹痛,进行性黄疸,无腹部包块,AFP阴性,影像检查如图,最可能的诊断是 ( )
选项 A、肝腺瘤 B、肝转移瘤 C、胆管癌 D、肝血管瘤 E、肝细胞肝癌
答案 C
解析

猜你喜欢

发表评论
更多 网友评论0 条评论)
暂无评论
错误啦!

错误信息

  • 消息: [程序异常] : MISCONF Redis is configured to save RDB snapshots, but it's currently unable to persist to disk. Commands that may modify the data set are disabled, because this instance is configured to report errors during writes if RDB snapshotting fails (stop-writes-on-bgsave-error option). Please check the Redis logs for details about the RDB error.
  • 文件: /twcms/kongphp/cache/cache_redis.class.php
  • 位置: 第 85 行
    <?php echo 'KongPHP, Road to Jane.'; ?>