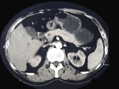
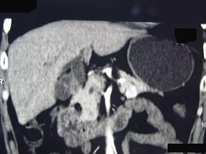
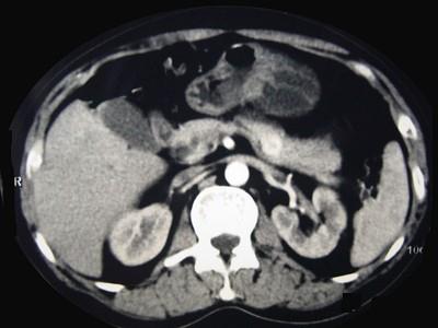
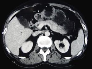
男性,57岁,1年前无明显诱因反复出现嗜睡及发作性神志不清,进食糖水或甜品后症状即缓解,腹部CT检查如下图,最佳的诊断是 ( )A、胃泌素...

作者: rantiku 人气: - 评论: 0
问题 男性,57岁,1年前无明显诱因反复出现嗜睡及发作性神志不清,进食糖水或甜品后症状即缓解,腹部CT检查如下图,最佳的诊断是 ( )
选项 A、胃泌素瘤 B、舒血管活性肽瘤 C、胰岛细胞瘤 D、胰腺转移瘤 E、胰腺癌
答案 C
解析

猜你喜欢

发表评论
更多 网友评论0 条评论)
暂无评论

访问排行

Copyright © 2012-2014 恰考网 Inc. 保留所有权利。 Powered by tikuer.com

页面耗时0.0530秒, 内存占用1.03 MB, Cache:redis,访问数据库18次