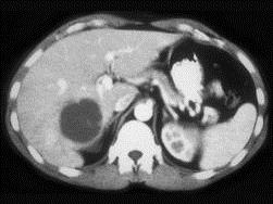
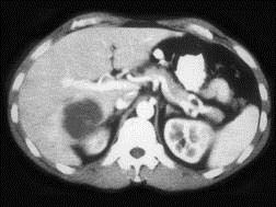
女,58岁,肝区疼痛半月,发热,白细胞升高,CT检查如图,请选择最可能诊断 ( )A、肝转移瘤B、肝棘球蚴病C、肝囊肿D、肝脓肿E...

作者: rantiku 人气: - 评论: 0
问题 女,58岁,肝区疼痛半月,发热,白细胞升高,CT检查如图,请选择最可能诊断 ( )
选项 A、肝转移瘤 B、肝棘球蚴病 C、肝囊肿 D、肝脓肿 E、原发性肝癌
答案 D
解析

猜你喜欢

发表评论
更多 网友评论0 条评论)
暂无评论

访问排行

Copyright © 2012-2014 恰考网 Inc. 保留所有权利。 Powered by tikuer.com

页面耗时0.0356秒, 内存占用1.03 MB, Cache:redis,访问数据库19次