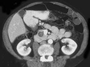
患者,女,57岁,上腹部隐痛半年余,CT片,最可能的诊断是 ( )A、胰腺囊腺瘤B、胰岛细胞瘤C、胰腺脓肿D、胰腺假性囊肿E、胰腺癌

作者: rantiku 人气: - 评论: 0
问题 患者,女,57岁,上腹部隐痛半年余,CT片,最可能的诊断是 ( )
选项 A、胰腺囊腺瘤 B、胰岛细胞瘤 C、胰腺脓肿 D、胰腺假性囊肿 E、胰腺癌
答案 A
解析

猜你喜欢

发表评论
更多 网友评论0 条评论)
暂无评论

访问排行

Copyright © 2012-2014 恰考网 Inc. 保留所有权利。 Powered by tikuer.com

页面耗时0.1511秒, 内存占用1.03 MB, Cache:redis,访问数据库14次