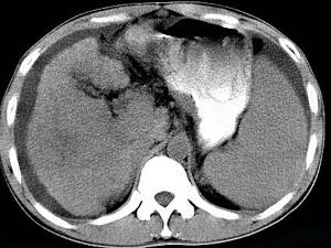
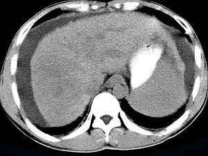
男,35岁,有乙肝病史多年,AFP阳性,影像检查如图,最可能的诊断是 ( )A、肝癌、硬化腹水B、肝硬化、结节性增生C、肝血管D、肝脓...

作者: rantiku 人气: - 评论: 0
问题 男,35岁,有乙肝病史多年,AFP阳性,影像检查如图,最可能的诊断是 ( )
选项 A、肝癌、硬化腹水 B、肝硬化、结节性增生 C、肝血管 D、肝脓肿 E、肝硬化腹水
答案 A
解析

猜你喜欢

发表评论
更多 网友评论0 条评论)
暂无评论

访问排行

Copyright © 2012-2014 恰考网 Inc. 保留所有权利。 Powered by tikuer.com

页面耗时0.0493秒, 内存占用1.03 MB, Cache:redis,访问数据库18次