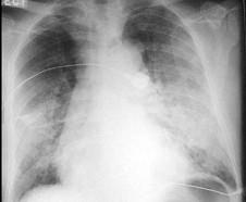
男,70岁,高血压病史20年,突然出现心悸、气促,咳粉红色泡沫痰,血压210/130mmHg,心率138次/分,律不齐,行床旁胸片检查,结果如图所示,应该...

作者: rantiku 人气: - 评论: 0
问题 男,70岁,高血压病史20年,突然出现心悸、气促,咳粉红色泡沫痰,血压210/130mmHg,心率138次/分,律不齐,行床旁胸片检查,结果如图所示,应该选择以下哪项治疗 ( )
选项 A、硝普钠、多巴胺、酚妥拉明 B、硝酸甘油、西地兰、多巴胺 C、美托洛尔、速尿、肾上腺素 D、毒毛旋花子苷K、普萘洛尔(心得安)、哌唑嗪 E、硝普钠、西地兰、速尿
答案 E
解析

猜你喜欢

发表评论
更多 网友评论0 条评论)
暂无评论

访问排行

Copyright © 2012-2014 恰考网 Inc. 保留所有权利。 Powered by tikuer.com

页面耗时0.0364秒, 内存占用1.03 MB, Cache:redis,访问数据库18次