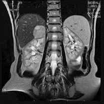
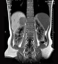
男,31岁,体检时超声发现右肾上腺区病灶,MRI扫描如图所示,下列说法正确的是 ( )A、考虑为右侧肾上腺髓样脂肪瘤B、考虑为右侧肾上腺嗜铬细...

作者: rantiku 人气: - 评论: 0
问题 男,31岁,体检时超声发现右肾上腺区病灶,MRI扫描如图所示,下列说法正确的是 ( )
选项 A、考虑为右侧肾上腺髓样脂肪瘤 B、考虑为右侧肾上腺嗜铬细胞瘤 C、该病灶在T1WI为等信号,在T2WI为稍高信号 D、考虑为右侧肾上腺腺瘤 E、右侧肾上腺区可见一类圆形病灶,与周围组织分界清楚
答案 CDE
解析

猜你喜欢

发表评论
更多 网友评论0 条评论)
暂无评论

访问排行

Copyright © 2012-2014 恰考网 Inc. 保留所有权利。 Powered by tikuer.com

页面耗时0.0316秒, 内存占用1.03 MB, Cache:redis,访问数据库19次