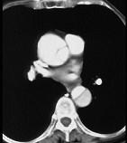
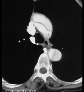
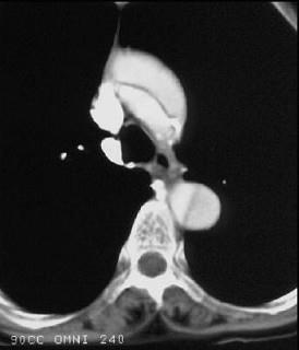
男,64岁,突感胸部剧痛2h,呈撕裂样,并向背部放射,有高血压病史10年,含服硝酸甘油3片不能缓解,CT检查如图所示。首先应考虑的诊断是 ( ) ...

作者: rantiku 人气: - 评论: 0
问题 男,64岁,突感胸部剧痛2h,呈撕裂样,并向背部放射,有高血压病史10年,含服硝酸甘油3片不能缓解,CT检查如图所示。首先应考虑的诊断是 ( )
选项 A、急性胸膜炎 B、急性心肌梗死 C、急性胆囊炎 D、急性胰腺炎 E、主动脉夹层
答案 E
解析

猜你喜欢

发表评论
更多 网友评论0 条评论)
暂无评论

访问排行

Copyright © 2012-2014 恰考网 Inc. 保留所有权利。 Powered by tikuer.com

页面耗时0.0308秒, 内存占用1.03 MB, Cache:redis,访问数据库15次