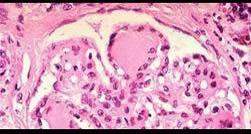
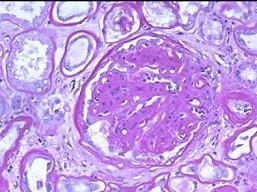
下述两张病理图片示肾小球毛细血管袢呈结节样的粉红色玻璃样物质(K-W结节)。其诊断为 ( )A、硬化性肾炎B、以上均不是C、糖尿病性结节性...

作者: rantiku 人气: - 评论: 0
问题 下述两张病理图片示肾小球毛细血管袢呈结节样的粉红色玻璃样物质(K-W结节)。其诊断为 ( )
选项 A、硬化性肾炎 B、以上均不是 C、糖尿病性结节性肾小球硬化(Kimme1stie1-Wi1son病) D、局灶性肾炎 E、局灶节段性肾小球硬化
答案 C
解析

猜你喜欢

发表评论
更多 网友评论0 条评论)
暂无评论

访问排行

Copyright © 2012-2014 恰考网 Inc. 保留所有权利。 Powered by tikuer.com

页面耗时0.0399秒, 内存占用1.03 MB, Cache:redis,访问数据库20次