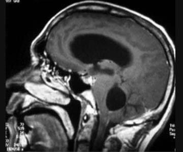
根据MRI表现考虑何种真菌感染可能大 ( )A、念珠菌B、以上均不是C、新型隐球菌D、曲霉菌E、毛霉菌一、单项选择题

作者: rantiku 人气: - 评论: 0
问题 根据MRI表现考虑何种真菌感染可能大 ( )
选项 A、念珠菌 B、以上均不是 C、新型隐球菌 D、曲霉菌 E、毛霉菌 一、单项选择题
答案 C
解析

猜你喜欢

发表评论
更多 网友评论0 条评论)
暂无评论

访问排行

Copyright © 2012-2014 恰考网 Inc. 保留所有权利。 Powered by tikuer.com

页面耗时0.0372秒, 内存占用1.03 MB, Cache:redis,访问数据库19次