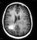
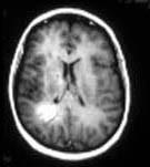
根据如图提示,多发性硬化MRI特点为 ( )A、多个类圆形及具融合灶长T1,长T2B、多个类圆形及其融合灶短T1,短T2C、单个类圆形及其...

作者: rantiku 人气: - 评论: 0
问题 根据如图提示,多发性硬化MRI特点为 ( )
选项 A、多个类圆形及具融合灶长T1,长T2 B、多个类圆形及其融合灶短T1,短T2 C、单个类圆形及其融合灶长T1,长T2 D、多个类圆形及具融合灶长T1,短T2 E、多个类圆形及其融合灶短T1,长T2 一、单项选择题
答案 A
解析

猜你喜欢

发表评论
更多 网友评论0 条评论)
暂无评论

访问排行

Copyright © 2012-2014 恰考网 Inc. 保留所有权利。 Powered by tikuer.com

页面耗时0.0300秒, 内存占用1.03 MB, Cache:redis,访问数据库17次