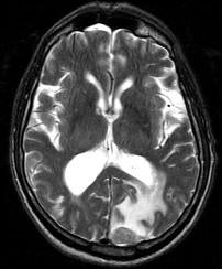
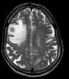
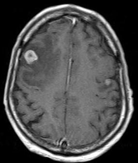
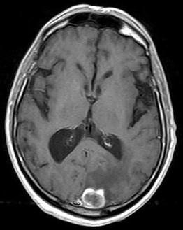
男,77岁,胃癌术后2年,头痛1月,请结合影像图像选择最可能的诊断()A.脑脓肿B.松果体瘤C.神经胶质瘤D.胃癌脑转移E...

作者: rantiku 人气: - 评论: 0
问题 男,77岁,胃癌术后2年,头痛1月,请结合影像图像选择最可能的诊断()
选项 A.脑脓肿 B.松果体瘤 C.神经胶质瘤 D.胃癌脑转移 E.脑膜炎
答案 D
解析

猜你喜欢

发表评论
更多 网友评论0 条评论)
暂无评论

访问排行

Copyright © 2012-2014 恰考网 Inc. 保留所有权利。 Powered by tikuer.com

页面耗时0.0553秒, 内存占用1.03 MB, Cache:redis,访问数据库20次