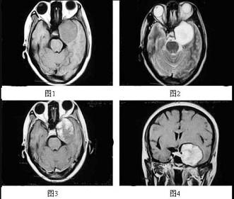
女,47岁,左侧面部麻木2个月余,伴阵发性头痛、耳鸣,MRI检查如图所示,最可能的诊断为()A.三叉神经纤维瘤B.海绵状血管瘤C.脑膜瘤 ...

作者: rantiku 人气: - 评论: 0
问题 女,47岁,左侧面部麻木2个月余,伴阵发性头痛、耳鸣,MRI检查如图所示,最可能的诊断为()
选项 A.三叉神经纤维瘤 B.海绵状血管瘤 C.脑膜瘤 D.颅咽管瘤 E.胶质瘤
答案 B
解析

猜你喜欢

发表评论
更多 网友评论0 条评论)
暂无评论

访问排行

Copyright © 2012-2014 恰考网 Inc. 保留所有权利。 Powered by tikuer.com

页面耗时0.0437秒, 内存占用1.03 MB, Cache:redis,访问数据库14次