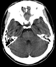
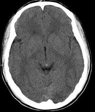
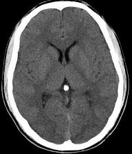
男,23岁,近3天感到头痛、头晕,乏力,精神焦虑,CT检查如图所示,最可能的诊断为()A.脑萎缩B.脑室出血C.正常颅脑D.脑...

作者: rantiku 人气: - 评论: 0
问题 男,23岁,近3天感到头痛、头晕,乏力,精神焦虑,CT检查如图所示,最可能的诊断为()
选项 A.脑萎缩 B.脑室出血 C.正常颅脑 D.脑水肿 E.胶质瘤
答案 C
解析

猜你喜欢

发表评论
更多 网友评论0 条评论)
暂无评论
错误啦!

错误信息

  • 消息: [程序异常] : MISCONF Redis is configured to save RDB snapshots, but it's currently unable to persist to disk. Commands that may modify the data set are disabled, because this instance is configured to report errors during writes if RDB snapshotting fails (stop-writes-on-bgsave-error option). Please check the Redis logs for details about the RDB error.
  • 文件: /twcms/kongphp/cache/cache_redis.class.php
  • 位置: 第 85 行
    <?php echo 'KongPHP, Road to Jane.'; ?>