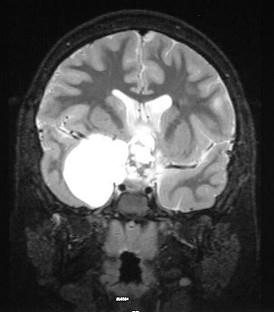
下面哪一项肯定不是颅咽管瘤(见图)鉴别诊断疾病()A.垂体腺瘤B.鞍结节脑膜瘤C.鞍部异位松果体瘤D.鞍部上皮样囊肿E.三叉神经鞘瘤

作者: rantiku 人气: - 评论: 0
问题 下面哪一项肯定不是颅咽管瘤(见图)鉴别诊断疾病()
选项 A.垂体腺瘤 B.鞍结节脑膜瘤 C.鞍部异位松果体瘤 D.鞍部上皮样囊肿 E.三叉神经鞘瘤
答案 E
解析

猜你喜欢

发表评论
更多 网友评论0 条评论)
暂无评论
错误啦!

错误信息

  • 消息: [程序异常] : MISCONF Redis is configured to save RDB snapshots, but it's currently unable to persist to disk. Commands that may modify the data set are disabled, because this instance is configured to report errors during writes if RDB snapshotting fails (stop-writes-on-bgsave-error option). Please check the Redis logs for details about the RDB error.
  • 文件: /twcms/kongphp/cache/cache_redis.class.php
  • 位置: 第 85 行
    <?php echo 'KongPHP, Road to Jane.'; ?>