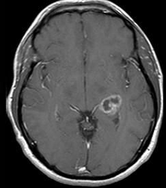
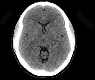
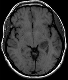
男,53岁,头晕,偏盲,请结合影像图像选择最可能的诊断()A.脑脓肿B.室管膜瘤C.脑膜炎D.脑膜瘤E.多形性恶性胶质瘤

作者: rantiku 人气: - 评论: 0
问题 男,53岁,头晕,偏盲,请结合影像图像选择最可能的诊断()
选项 A.脑脓肿 B.室管膜瘤 C.脑膜炎 D.脑膜瘤 E.多形性恶性胶质瘤
答案 E
解析

猜你喜欢

发表评论
更多 网友评论0 条评论)
暂无评论

访问排行

Copyright © 2012-2014 恰考网 Inc. 保留所有权利。 Powered by tikuer.com

页面耗时0.0460秒, 内存占用1.03 MB, Cache:redis,访问数据库17次