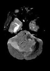
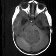
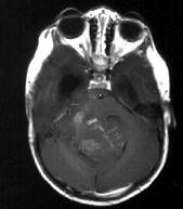
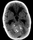
成年男性,头痛、头晕、恶心,病程二年余,结合影像图像选择最可能的诊断()A.脑膜瘤B.星形细胞瘤C.室管膜瘤D.胶质瘤E.畸胎瘤

作者: rantiku 人气: - 评论: 0
问题 成年男性,头痛、头晕、恶心,病程二年余,结合影像图像选择最可能的诊断()
选项 A.脑膜瘤 B.星形细胞瘤 C.室管膜瘤 D.胶质瘤 E.畸胎瘤
答案 C
解析

猜你喜欢

发表评论
更多 网友评论0 条评论)
暂无评论

访问排行

Copyright © 2012-2014 恰考网 Inc. 保留所有权利。 Powered by tikuer.com

页面耗时0.0400秒, 内存占用1.03 MB, Cache:redis,访问数据库19次