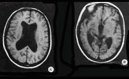
如图所示,可以得出()A.颅内血肿B.侧脑室及第三脑室扩大C.中脑导水管狭窄D.导水管轻度扩张,四脑室轻度增大E.以上均不对

作者: rantiku 人气: - 评论: 0
问题 如图所示,可以得出()
选项 A.颅内血肿 B.侧脑室及第三脑室扩大 C.中脑导水管狭窄 D.导水管轻度扩张,四脑室轻度增大 E.以上均不对
答案 B
解析

猜你喜欢

发表评论
更多 网友评论0 条评论)
暂无评论
错误啦!

错误信息

  • 消息: [程序异常] : MISCONF Redis is configured to save RDB snapshots, but it's currently unable to persist to disk. Commands that may modify the data set are disabled, because this instance is configured to report errors during writes if RDB snapshotting fails (stop-writes-on-bgsave-error option). Please check the Redis logs for details about the RDB error.
  • 文件: /twcms/kongphp/cache/cache_redis.class.php
  • 位置: 第 85 行
    <?php echo 'KongPHP, Road to Jane.'; ?>