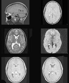
有关脑室内脑膜瘤(如图所示),下列哪项说法不恰当()A.起始于脉络丛B.侧脑室内脑膜瘤多位于侧脑室三角部C.临床常见头痛、视乳头水肿D.三...

作者: rantiku 人气: - 评论: 0
问题 有关脑室内脑膜瘤(如图所示),下列哪项说法不恰当()
选项 A.起始于脉络丛 B.侧脑室内脑膜瘤多位于侧脑室三角部 C.临床常见头痛、视乳头水肿 D.三、四脑室内脑膜瘤可引起梗阻性脑积水 E.脑血管造影显示侧脑室内脑膜瘤供血动脉多为大脑中动脉
答案 E
解析

猜你喜欢

发表评论
更多 网友评论0 条评论)
暂无评论

访问排行

Copyright © 2012-2014 恰考网 Inc. 保留所有权利。 Powered by tikuer.com

页面耗时0.0717秒, 内存占用1.03 MB, Cache:redis,访问数据库14次