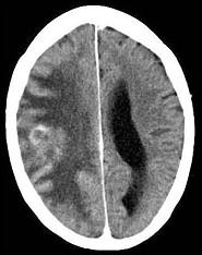
关于脑转移瘤(如图所示),瘤周围水肿属于()A.细胞性水肿B.血管源性水肿C.脑积水性水肿D.渗透性水肿E.脑缺血性水肿

作者: rantiku 人气: - 评论: 0
问题 关于脑转移瘤(如图所示),瘤周围水肿属于()
选项 A.细胞性水肿 B.血管源性水肿 C.脑积水性水肿 D.渗透性水肿 E.脑缺血性水肿
答案 B
解析

猜你喜欢

发表评论
更多 网友评论0 条评论)
暂无评论

访问排行

Copyright © 2012-2014 恰考网 Inc. 保留所有权利。 Powered by tikuer.com

页面耗时0.0568秒, 内存占用1.03 MB, Cache:redis,访问数据库20次