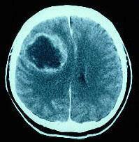
关于脑脓肿(如图所示)的说法,下列哪种是错误的()A.如进行脓液的细菌检查,一定能发现致病菌B.先天性心脏病患儿常可并发脑脓肿C.血源性脑脓肿...

作者: rantiku 人气: - 评论: 0
问题 关于脑脓肿(如图所示)的说法,下列哪种是错误的()
选项 A.如进行脓液的细菌检查,一定能发现致病菌 B.先天性心脏病患儿常可并发脑脓肿 C.血源性脑脓肿以额叶顶叶为最多 D.脑脓肿的致病菌以金黄色葡萄球菌最为常见 E.耳源性脑脓肿约2/3发生于患耳同侧的颞叶
答案 A
解析

猜你喜欢

发表评论
更多 网友评论0 条评论)
暂无评论

访问排行

Copyright © 2012-2014 恰考网 Inc. 保留所有权利。 Powered by tikuer.com

页面耗时0.0340秒, 内存占用1.03 MB, Cache:redis,访问数据库19次