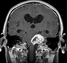
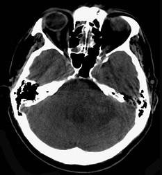
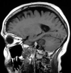
有关听神经鞘瘤(如图所示)的发生,下列哪项描述不正确()A.多发生于听神经的内听道段或内耳孔区B.听神经瘤起源于Schwann细胞C....

作者: rantiku 人气: - 评论: 0
问题 有关听神经鞘瘤(如图所示)的发生,下列哪项描述不正确()
选项 A.多发生于听神经的内听道段或内耳孔区 B.听神经瘤起源于Schwann细胞 C.听神经瘤多来自耳蜗神经 D.大多数是单侧性 E.好发于中年人
答案 C
解析

猜你喜欢

发表评论
更多 网友评论0 条评论)
暂无评论

访问排行

Copyright © 2012-2014 恰考网 Inc. 保留所有权利。 Powered by tikuer.com

页面耗时0.0392秒, 内存占用1.03 MB, Cache:redis,访问数据库19次