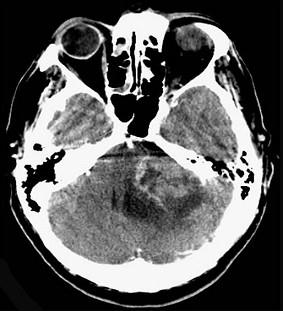
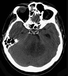
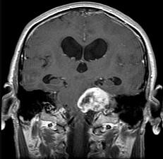
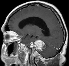
听神经瘤(如图所示)的最常见症状为()A.头痛、呕吐B.面部麻木,痛觉减退C.眩晕,单侧耳鸣,耳聋D.吞咽困难,进食呛咳E...

作者: rantiku 人气: - 评论: 0
问题 听神经瘤(如图所示)的最常见症状为()
选项 A.头痛、呕吐 B.面部麻木,痛觉减退 C.眩晕,单侧耳鸣,耳聋 D.吞咽困难,进食呛咳 E.小脑运动共济失调
答案 C
解析

猜你喜欢

发表评论
更多 网友评论0 条评论)
暂无评论
错误啦!

错误信息

  • 消息: [程序异常] : MISCONF Redis is configured to save RDB snapshots, but it's currently unable to persist to disk. Commands that may modify the data set are disabled, because this instance is configured to report errors during writes if RDB snapshotting fails (stop-writes-on-bgsave-error option). Please check the Redis logs for details about the RDB error.
  • 文件: /twcms/kongphp/cache/cache_redis.class.php
  • 位置: 第 85 行
    <?php echo 'KongPHP, Road to Jane.'; ?>