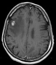
关于颅内转移瘤(如图所示),以下哪项正确()A.常为单发B.淋巴转移为常见转移途径C.多见颞叶D.最常见的原发病变是消化道肿瘤E.多见...

作者: rantiku 人气: - 评论: 0
问题 关于颅内转移瘤(如图所示),以下哪项正确()
选项 A.常为单发 B.淋巴转移为常见转移途径 C.多见颞叶 D.最常见的原发病变是消化道肿瘤 E.多见于大脑中动脉分布区
答案 E
解析

猜你喜欢

发表评论
更多 网友评论0 条评论)
暂无评论

访问排行

Copyright © 2012-2014 恰考网 Inc. 保留所有权利。 Powered by tikuer.com

页面耗时0.0402秒, 内存占用1.03 MB, Cache:redis,访问数据库20次