男,38岁,3个月前行肺癌切除术,近3周来出现头痛、呕吐及阵发性意识错乱并有2次癫痫发作。检查:神情淡漠,视乳头鼻侧边缘模糊,胸部除前次术后一般改变外,无...

作者: rantiku 人气: - 评论: 0
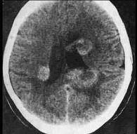
问题 男,38岁,3个月前行肺癌切除术,近3周来出现头痛、呕吐及阵发性意识错乱并有2次癫痫发作。检查:神情淡漠,视乳头鼻侧边缘模糊,胸部除前次术后一般改变外,无其他重要发现,血沉50mm/h,头颅超声波检查:中线波无偏移,脑电图:双侧弥漫性异常,头部CT扫描显示双侧大脑半球皮质及皮质下区多个小圆形低密度灶(如图所示)。处理应为()
选项 A.开颅探查切除病灶 B.行脑脊液分流术 C.应用中草药,化学治疗等相结合的非手术治疗措施 D.给予吗啡类药物以缓解症状 E.输血
答案 C
解析

猜你喜欢

发表评论
更多 网友评论0 条评论)
暂无评论
错误啦!

错误信息

  • 消息: [程序异常] : MISCONF Redis is configured to save RDB snapshots, but it's currently unable to persist to disk. Commands that may modify the data set are disabled, because this instance is configured to report errors during writes if RDB snapshotting fails (stop-writes-on-bgsave-error option). Please check the Redis logs for details about the RDB error.
  • 文件: /twcms/kongphp/cache/cache_redis.class.php
  • 位置: 第 85 行
    <?php echo 'KongPHP, Road to Jane.'; ?>