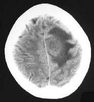
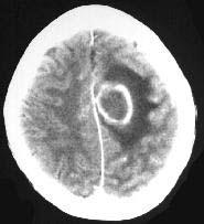
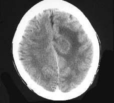
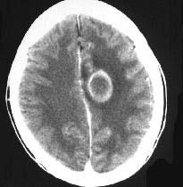
成年男性,头疼、头胀、发热,血象高,CT检查如图,选择最可能的诊断()A.脑脓肿B.胶质瘤C.皮样囊肿D.脑梗死E.脑膜瘤

作者: rantiku 人气: - 评论: 0
问题 成年男性,头疼、头胀、发热,血象高,CT检查如图,选择最可能的诊断()
选项 A.脑脓肿 B.胶质瘤 C.皮样囊肿 D.脑梗死 E.脑膜瘤
答案 A
解析

猜你喜欢

发表评论
更多 网友评论0 条评论)
暂无评论

访问排行

Copyright © 2012-2014 恰考网 Inc. 保留所有权利。 Powered by tikuer.com

页面耗时0.0525秒, 内存占用1.03 MB, Cache:redis,访问数据库19次