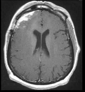
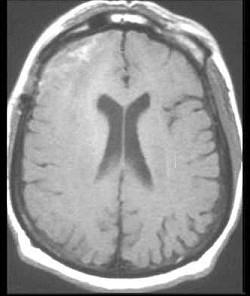
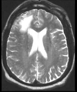
男,16岁,发热、头痛半月,抽搐、意识模糊一天,CT检查如图,最可能的诊断为()A.脑水肿B.脑积水C.脑萎缩D.结核性脑膜炎...

作者: rantiku 人气: - 评论: 0
问题 男,16岁,发热、头痛半月,抽搐、意识模糊一天,CT检查如图,最可能的诊断为()
选项 A.脑水肿 B.脑积水 C.脑萎缩 D.结核性脑膜炎 E.结核性脑脓肿
答案 D
解析

猜你喜欢

发表评论
更多 网友评论0 条评论)
暂无评论

访问排行

Copyright © 2012-2014 恰考网 Inc. 保留所有权利。 Powered by tikuer.com

页面耗时0.0373秒, 内存占用1.02 MB, Cache:redis,访问数据库14次