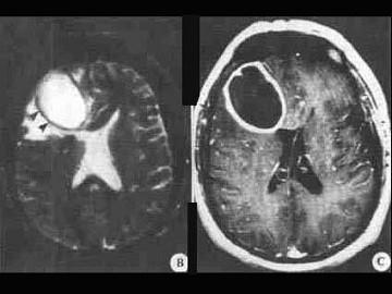
关于脑脓肿(如图所示)下面哪项说法不正确()A.如在脑脓肿的脓汁中查细菌一定能查到B.先心病患者可并发脑脓肿C.耳源性脑脓肿约2/3发生于患耳...

作者: rantiku 人气: - 评论: 0
问题 关于脑脓肿(如图所示)下面哪项说法不正确()
选项 A.如在脑脓肿的脓汁中查细菌一定能查到 B.先心病患者可并发脑脓肿 C.耳源性脑脓肿约2/3发生于患耳同侧颞叶 D.脑脓肿的致病菌以金葡萄为常见 E.血液性脑脓肿以额叶、顶叶为多见
答案 A
解析

猜你喜欢

发表评论
更多 网友评论0 条评论)
暂无评论

访问排行

Copyright © 2012-2014 恰考网 Inc. 保留所有权利。 Powered by tikuer.com

页面耗时0.0486秒, 内存占用1.03 MB, Cache:redis,访问数据库20次