病历摘要:??患者,男,40岁。发作性左下肢抽搐1年余,每次发作3~5分,每周发作1~2次。每次发作后感左下肢乏力,约半日后可自行恢复。既往身体健康。体检...

作者: rantiku 人气: - 评论: 0
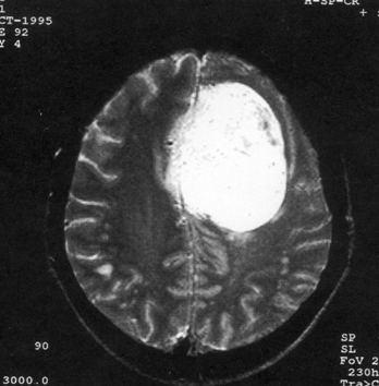
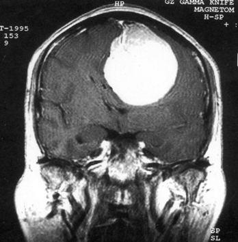
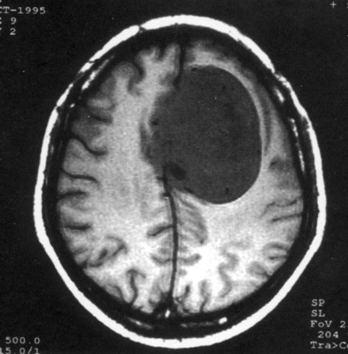
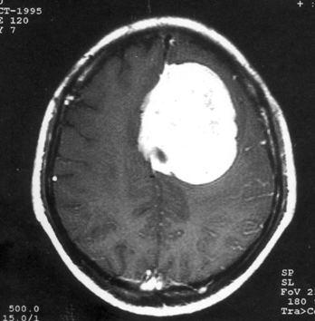
问题 病历摘要:??患者,男,40岁。发作性左下肢抽搐1年余,每次发作3~5分,每周发作1~2次。每次发作后感左下肢乏力,约半日后可自行恢复。既往身体健康。体检:神清,头顶部偏右有局限性骨性隆起(1.5×1.5cm),左鼻唇沟稍浅,伸舌居中。感觉、运动无明显异常。左浅反射减退,左下肢腱反射稍亢进,左Babinski征(-)。 脑膜瘤主要有哪些好发部位?
选项 A.大脑凸面 B.矢状窦旁 C.大脑镰旁 D.小脑幕 E.脑室内 F.蝶骨嵴 G.嗅沟 H.鞍结节 I.桥小脑角
答案 ABCDFGHI
解析 ABCDFGHI

猜你喜欢

发表评论
更多 网友评论0 条评论)
暂无评论

访问排行

Copyright © 2012-2014 恰考网 Inc. 保留所有权利。 Powered by tikuer.com

页面耗时0.0359秒, 内存占用1.03 MB, Cache:redis,访问数据库19次