病历摘要:??患者,男,40岁。发作性左下肢抽搐1年余,每次发作3~5分,每周发作1~2次。每次发作后感左下肢乏力,约半日后可自行恢复。既往身体健康。体检...

作者: rantiku 人气: - 评论: 0
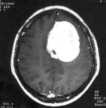
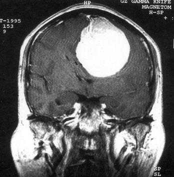
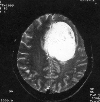
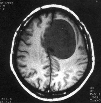
问题 病历摘要:??患者,男,40岁。发作性左下肢抽搐1年余,每次发作3~5分,每周发作1~2次。每次发作后感左下肢乏力,约半日后可自行恢复。既往身体健康。体检:神清,头顶部偏右有局限性骨性隆起(1.5×1.5cm),左鼻唇沟稍浅,伸舌居中。感觉、运动无明显异常。左浅反射减退,左下肢腱反射稍亢进,左Babinski征(-)。 下列关于脑膜瘤的叙述哪些是错误的?
选项 A.脑膜瘤大部分起源于蛛网膜细胞 B.多见于儿童 C.常使邻近的颅骨破坏或增生 D.可同时接受来自颈外、颈内或椎动脉系统的双重供血 E.呈浸润性生长 F.瘤周脑组织水肿一般比较明显 G.CT或MR增强扫描中强化一般不均匀 H.供血一般比较丰富
答案 BEFG
解析 BEFG

猜你喜欢

发表评论
更多 网友评论0 条评论)
暂无评论

访问排行

Copyright © 2012-2014 恰考网 Inc. 保留所有权利。 Powered by tikuer.com

页面耗时0.0384秒, 内存占用1.03 MB, Cache:redis,访问数据库17次