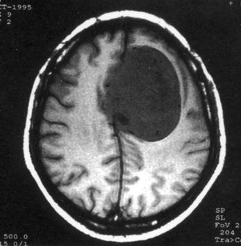
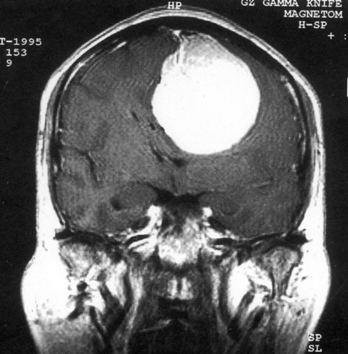
病历摘要:??患者女性,37岁。大便时突起炸裂样头痛3小时,伴喷射样呕吐。既往体健。体检:T37.5℃,BP145/90mmHg,R20次/分,P85次/...

作者: rantiku 人气: - 评论: 0
问题 病历摘要:??患者女性,37岁。大便时突起炸裂样头痛3小时,伴喷射样呕吐。既往体健。体检:T37.5℃,BP145/90mmHg,R20次/分,P85次/分。神志清楚,颅神经检查无异常,颈强直,克、布氏征(-),四肢肌力、肌张力正常,病理征(-)。 目前治疗颅内动脉瘤的主要方法有哪些?
选项 A.r刀 B.开颅动脉瘤夹闭术 C.开颅载瘤动脉夹闭及动脉瘤孤立术 D.开颅动脉瘤包裹术 E.血管内动脉瘤栓塞术 F.X刀 G.动脉瘤颈结扎术 H.颈动脉结扎术
答案 BCDE
解析 BCDE

猜你喜欢

发表评论
更多 网友评论0 条评论)
暂无评论

访问排行

Copyright © 2012-2014 恰考网 Inc. 保留所有权利。 Powered by tikuer.com

页面耗时0.1060秒, 内存占用1.03 MB, Cache:redis,访问数据库19次