病历摘要:??患者女性,37岁。大便时突起炸裂样头痛3小时,伴喷射样呕吐。既往体健。体检:T37.5℃,BP145/90mmHg,R20次/分,P85次/...

作者: rantiku 人气: - 评论: 0
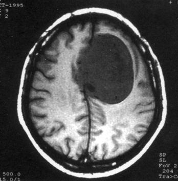
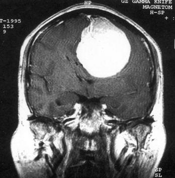
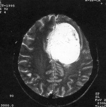
问题 病历摘要:??患者女性,37岁。大便时突起炸裂样头痛3小时,伴喷射样呕吐。既往体健。体检:T37.5℃,BP145/90mmHg,R20次/分,P85次/分。神志清楚,颅神经检查无异常,颈强直,克、布氏征(-),四肢肌力、肌张力正常,病理征(-)。 动脉瘤术中出血时,可采取哪些措施?提示:入院后第?2日患者行右翼点开颅瘤颈夹闭术,术中分离瘤颈时,动脉瘤破裂。
选项 A.降低血压 B.压迫颈动脉 C.应用止血纱 D.应用凝血酶 E.暂时阻断载瘤动脉近端或两端 F.应用抗纤溶药物 G.迅速分离并夹闭瘤颈 H.电凝烧灼
答案 ABEG
解析 ABEG

猜你喜欢

发表评论
更多 网友评论0 条评论)
暂无评论

访问排行

Copyright © 2012-2014 恰考网 Inc. 保留所有权利。 Powered by tikuer.com

页面耗时0.0574秒, 内存占用1.03 MB, Cache:redis,访问数据库19次