病历摘要:??患者女性,37岁。大便时突起炸裂样头痛3小时,伴喷射样呕吐。既往体健。体检:T37.5℃,BP145/90mmHg,R20次/分,P85次/...

作者: rantiku 人气: - 评论: 0
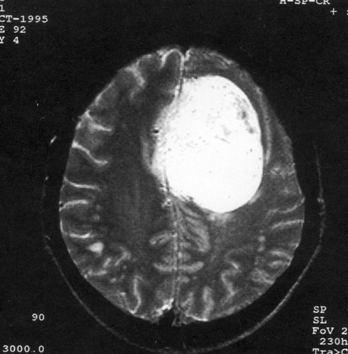
问题 病历摘要:??患者女性,37岁。大便时突起炸裂样头痛3小时,伴喷射样呕吐。既往体健。体检:T37.5℃,BP145/90mmHg,R20次/分,P85次/分。神志清楚,颅神经检查无异常,颈强直,克、布氏征(-),四肢肌力、肌张力正常,病理征(-)。 根据以上情况,可采取哪些处理措施?提示:手术成功夹闭动脉瘤,术后患者恢复可。但术后第?3日患者左肢体肌力渐变差(3级),复查CT未见颅内出血,床边TCD示右颈内动脉血流速度加快。
选项 A.应用尼莫地平 B.脑脊液引流 C.适当提高血压 D.增加输液量 E.应用低分子右旋糖酐 F.使用糖皮质激素 G.应用甘露醇 H.必要时行介入血管成形术
答案 ACDEH
解析 ACDEH

猜你喜欢

发表评论
更多 网友评论0 条评论)
暂无评论

访问排行

Copyright © 2012-2014 恰考网 Inc. 保留所有权利。 Powered by tikuer.com

页面耗时0.0364秒, 内存占用1.03 MB, Cache:redis,访问数据库17次