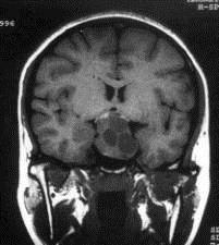
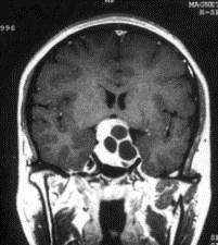
病历摘要:??患者男性,35岁。性功能减退2年,视力下降6月。既往体健。体检:神清,皮肤细腻,毛发稀疏。视力左眼0.3,右眼0.5,双瞳等大等圆,直径3....

作者: rantiku 人气: - 评论: 0
问题 病历摘要:??患者男性,35岁。性功能减退2年,视力下降6月。既往体健。体检:神清,皮肤细腻,毛发稀疏。视力左眼0.3,右眼0.5,双瞳等大等圆,直径3.5mm,对光反射稍迟钝,双颞侧偏盲,双眼底视神经乳头原发性萎缩,余神经系统未见异常。 垂体腺瘤目前主要治疗方法有哪些?
选项 A.溴隐亭、生长抑素等药物治疗 B.化疗 C.立体定向放射治疗 D.经蝶窦入路肿瘤切除 E.翼点开颅肿瘤切除 F.经额叶入路肿瘤切除 G.Krause入路肿瘤切除
答案 ACDEF
解析 ACDEF

猜你喜欢

发表评论
更多 网友评论0 条评论)
暂无评论

访问排行

Copyright © 2012-2014 恰考网 Inc. 保留所有权利。 Powered by tikuer.com

页面耗时0.0380秒, 内存占用1.03 MB, Cache:redis,访问数据库20次