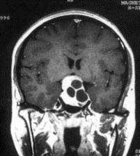
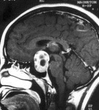
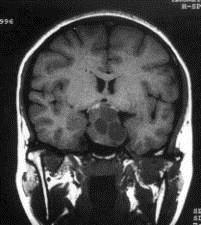
病历摘要:??患者男性,35岁。性功能减退2年,视力下降6月。既往体健。体检:神清,皮肤细腻,毛发稀疏。视力左眼0.3,右眼0.5,双瞳等大等圆,直径3....

作者: rantiku 人气: - 评论: 0
问题 病历摘要:??患者男性,35岁。性功能减退2年,视力下降6月。既往体健。体检:神清,皮肤细腻,毛发稀疏。视力左眼0.3,右眼0.5,双瞳等大等圆,直径3.5mm,对光反射稍迟钝,双颞侧偏盲,双眼底视神经乳头原发性萎缩,余神经系统未见异常。 术前的准备应包括下列哪些?提示:拟经蝶窦入路手术治疗
选项 A.脑血管造影 B.拍片了解蝶窦气化情况 C.脑电图 D.应用糖皮质激素 E.应用抗生素 F.鼻腔准备 G.脑核素扫描
答案 BDEF
解析 BDEF

猜你喜欢

发表评论
更多 网友评论0 条评论)
暂无评论

访问排行

Copyright © 2012-2014 恰考网 Inc. 保留所有权利。 Powered by tikuer.com

页面耗时0.0587秒, 内存占用1.03 MB, Cache:redis,访问数据库18次